التهاب المفاصل في الركبة (gonartrosn) هو مرض تنكسي يكون فيه الغضروف أرق. وفقا للإحصاءات ، كل مقيم خامس في الكوكب يعاني من هذا الأمراض. ستنظر هذه المقالة في الأسباب الرئيسية للمفصل ، وأعراضها في كل مرحلة ، وكذلك طرق التشخيص والعلاج.
أسباب
كل يوم ، تواجه مفاصل الركبة حمولة كبيرة عند المشي. بعد كل شيء ، عليهم أن يقاوموا كتلة الجسم كله. نتيجة لهذا ، هناك تآكل تدريجي لأنسجة الغضروف ، وهو سبب التغيرات المرضية في الركبتين.
تشمل مجموعة المخاطر الناس:
- كبير،
- يعاني من زيادة الوزن ،
- تعاني من مرض العظام واضطرابات التمثيل الغذائي ،
- تلقى أي وقت مضى إصابة مفصل في الركبة ،
- تمثيل بعض المهن ،
- يعاني من نقص العوامل الدقيقة ،
- تشارك في رياضات ثقيلة.

في معظم الأشخاص الذين تتراوح أعمارهم بين 40 عامًا ، يمكن العثور على وجود مرض في المرحلة الثانية أو الأحدث من التنمية.
الأعراض الرئيسية
بالطبع ، لا يمكن أن تحدث التغييرات في أنسجة الغضاريف بدون أعراض. مع مرض ، يمكن للشخص أن يشكو من:
- شعور بعدم الراحة في الركبتين بعد الاستيقاظ أو طويل المدى في وضع الجلوس ،
- ألم في الساقين بعد وضع طويل الأمد ،
- إحساس محترق عند تسلق الجبل وأعلى الدرج ،
- الضعف في الساقين بعد الحمل الطفيف ، وكذلك في نهاية اليوم.
- يشعر بعض المرضى بالقلق حتى في الليل ، أثناء النوم.
مهم! لا يحدث المرض بشكل حاد ، ويتطور على مر السنين. يمكن أن يكون الألم في المراحل الأولى ضئيلة ، ولكن مع مرور الوقت هناك زيادة مستمرة.
التهاب المفاصل في الركبة 1 درجة
في هذه المرحلة ، بدأت عملية التهاب المفاصل للتو في تطورها ، لذلك ، بالنسبة لشخص ما ، تستمر العملية تقريبًا. ومع ذلك ، لا يزال من الممكن رؤية بعض العلامات.
غالبًا ما يبدأ الشخص في الشعور بالتعب في الساقين ، لاحظ انخفاضًا طفيفًا في تنقل مفاصل الركبة أو اثنين. هذه الظاهرة مميزة بشكل خاص في الصباح ، في الدقائق الأولى بعد الصحوة.
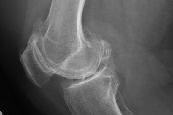
كقاعدة عامة ، يحدث تشخيص المرض في هذه المرحلة عن طريق الصدفة ، أثناء X -Ray. على ذلك ، قد يلاحظ الطبيب بعض المخالفات على الغضروف. من الممكن أيضًا تضييق التجويف بين أجزاء المفصل.
التهاب المفاصل في الركبة 2 درجة
تبدأ أمراض مفصل الركبة في الظهور أكثر وضوحًا. ظهور متلازمة الألم مميزة ، والتي يستفزها أي حمولة إضافية على المفصل.
مرجع. في هذه المرحلة ، يمر الألم بشكل مستقل ، بعد راحة طويلة.
بالإضافة إلى ذلك ، خلال المرحلة الثانية ، أعراض مثل:
- كريست مع بعض الحركات. يمكن ملاحظته في واحدة وفي كلا الركبتين. يمكن أن تكون الأزمة بالكاد ملحوظة ، لكنها تدريجياً أنها تكتسب طابعًا خشنًا وصاخبًا ومميزًا للغاية.
- تقليل القدرة على ثني الساق تماما في الركبة. يمكن لبعض الأشخاص القيام بذلك فقط إلى زاوية 90 درجة ، ثم يظهر إحساس غير سارة ، ويجبرون على التوقف.
- يبدأ بعض المرضى الذين يعانون من جراحة المرحلة الثانية في الشكوى من ظهور الألم الحاد الذي يحدث عندما يكون مفصل الركبة عازمة.
- من الممكن تغيير شكل مفصل الركبة ، ويصبح أوسع ، يتضخم. هذا بسبب تراكم السائل المرضي.

إذا تم اكتشاف عدم الراحة في منطقة الركبة ، فيجب عليك استشارة الطبيب حتى يصف العلاج الصحيح.
التهاب المفاصل في الركبة 3 درجات
- في هذه المرحلة ، في مفصل المفصل ، لوحظت تغييرات غضروف هيكلية قوية للغاية. النمو التي لها حجم كبير تظهر عليه.
- ويلاحظ انحناء الساق المصابة. إنه يكتسب منحنى على شكل حرف X أو على شكل X ، والذي يصبح عقبة خطيرة أمام الحياة الكاملة للمريض. نتيجة لذلك ، يمكن أن يصبح الشخص شخصًا معاقًا.
- إن ظاهرة مميزة للمرحلة الثالثة من المرض هي الألم الشديد ، والتي يمكن ملاحظتها باستمرار ، وتكثيف بعد أي حمولة طفيفة.
- يلاحظ الشخص حساسية المفصل للتغيرات في الطقس. الآن بعد أن اقترب الإعصار ، فإن الركبة مؤلمة ، تنشأ الأحاسيس.

مع تقدم العمر ، تبدأ المفاصل في الاستجابة للتغيرات في الطقس والضغط.
التهاب المفاصل في الركبة 4 درجات
إنها المرحلة الأخيرة من المرض ، حيث تكون الفجوة بين العظام غائبة تمامًا.
مرجع. يعزو معظم العظام إلى المرحلة الرابعة إلى الثالث. ويرجع ذلك إلى تشابه الأعراض وتعقيد التشخيص في الوقت المناسب.
منذ أن لوحظ عدم وجود فجوة ، فإن حركة المفصل مستحيل ببساطة.
بالإضافة إلى ذلك ، يتم تعذيب المريض بألم ثابت لا يطاق ، والذي يعاني فقط من مسكنات الألم الشديدة. ولكن بعد الوقت الذي يتوقف فيه عمل الكمبيوتر اللوحي أو الحقن ، يظهر أعراض غير سارة مرة أخرى.
التشخيص
يبدأ فحص المريض بطلب المساعدة لأخصائي. قد تكون معالجًا أو عظامًا.
يستمع الطبيب إلى الشكاوى ، ويجمع مفتون ، ويجري فحصًا. بادئ ذي بدء ، سيكون مهتمًا بالتغييرات الخارجية في المفصل ، وهو الحد من التنقل في منطقته.

سوف تساعد X -Ray في تحديد الانحرافات في الغضروف.
عند التحقيق ، يشتكي المريض من ظهور الأحاسيس غير السارة ، ومع تألق كأس الركبة ، يتم سماع أزمة.
مهم! التشخيص غير ممكن بعد الفحص البصري للطبيب ، حتى في وجود جميع علامات المرض. يسمح لك الفحص الشامل فقط بإعطاء إجابة دقيقة حول علم الأمراض المتدفق في الركبة.
بعد الفحص ، يصف الطبيب التصوير الشعاعي للمريض. هذه هي الطريقة الرئيسية لتشخيص التهاب المفاصل لمفصل الركبة من أي درجة.
X -Ray يعطي الطبيب فكرة عن التغييرات التي تحدث في غضروف المفصل. ومع ذلك ، في بعض الحالات ، لا يمكن تحديد المرحلة الأولية في الصورة.
إذا لزم الأمر ، قد يصف الطبيب مرورًا متكررًا من التصوير المقطعي بالأشعة السينية أو التصوير بالرنين المغناطيسي.
علاج
عند تشخيص التهاب المفاصل ، يجب أن يبدأ العلاج الفوري. هذا سيساعد على وقف تطور علم الأمراض ، ومنع العديد من المضاعفات.
علاج المرض يتبع عدة أهداف في وقت واحد. وهي:
- التخلص من متلازمة الألم ،
- انخفاض في شدة الأعراض الأخرى ،
- الحد الأقصى المحتمل للاستعادة الغضروفية المتأثرة ورباقات المفصل ،
- زيادة في تنقل الطرف.
يشمل علاج المرض طرقًا مثل:
- العلاج بالمخدرات ،
- التدليك ، اعتلال العظام ، العلاج اليدوي ،
- التدخل الجراحي ،
- التربية البدنية الطبية والوقائية ،
- العلاج الطبيعي.
العناية بالمخدرات
مرجع. العلاج الدوائي هو الطريقة الرئيسية لعلاج المرض. ومع ذلك ، فهي أكثر نجاحا عندما تقترن مع أساليب أخرى.
تشمل الأدوية المستخدمة لعلاج التهاب المفاصل:
- أدوية مضادة للالتهابات غير الستيرويدية - تخفيف المريض من الألم ، وتخفيف الالتهاب. هذه الأدوية هي عوامل أعراض دون التأثير على سبب المرض. إنهم يقاتلون فقط بمظاهره ، مما يجلب الإغاثة المؤقتة.
- أسماك الغضروفية - استعادة نسيج الغضاريف. ومع ذلك ، يصبح التأثير ملحوظًا على الفور. الأدوية لها خصائص تراكمية (تراكمية) ، وبالتالي ، يحتاج الجسم إلى وقت لتأثيرها الكامل.
- الأدوية الهرمونية. يتم وصفها ، كقاعدة عامة ، مع مراحل متقدمة من المرض. هذه الأموال يمكن أن تخفف بسرعة من التورم والتهاب الأنسجة حول المفصل. إن عيب هذه الفئة من الأدوية هو التأثير الجهازي على الجسم ، حيث تكون العديد من التفاعلات السلبية غير المرغوب فيها ممكنة. يتم وصفها فقط في دورات وقت واحد ، أثناء تفاقم العملية.
- الأدوية الخارجية، مصممة لتخفيف الألم. صدر في شكل مرهم ، كريم.
- حمض الهيالورونيك. إنه حل جديد في علاج التربط. إنه مقدمة داخل المفصل بين الوسيلة التي تغذي المفصل. لديها كفاءة عالية إلى حد ما. ومع ذلك ، تتميز الطريقة بأوجه القصور مثل: إمكانية الاستخدام فقط في المراحل الأولية من المرض وارتفاع تكلفة الدواء.
مهم! لا يجوز إدخال الأدوية في الفجوة المشتركة أكثر من وقت واحد في 7-10 أيام.
تدليك
يهدف التدليك ، وكذلك العلاج اليدوي والتعويم إلى:
- القضاء على الألم ،
- التغلب على تصلب الحركات في الركبتين ،
- تحسين إمدادات الدم في موقع الغضروف ،
- توفير العناصر الغذائية والأكسجين في منطقة الالتهاب.
مرجع. يجب تنفيذ التدليك والإجراءات المماثلة فقط من قبل شخص لديه تعليم خاص. خلاف ذلك ، يمكنك أن تؤذي وتفاقم حالة المفصل.
التدخل الجراحي
إنه إجراء متطرف في علاج التهاب المفاصل ، عندما يتم إهمال المرض للغاية ويكون طرق العلاج الأخرى عاجزة. في أغلب الأحيان ، يتم استخدام edoprosthetics ، حيث يتم استبدال المفصل المصاب بزرع.
يمكن أن يكون الأطراف الاصطناعية من نوعين:
- كامل - يتم استبدال المفصل بأكمله ،
- جزئي - فقط الجزء الأكثر ثورة من المفصل المفصلي يخضع للاستبدال.
موانع الأطراف الاصطناعية هي:
- الالتهابات الصفية المزمنة.
- الاضطرابات العصبية العضلية.
- أمراض الوريد
- عدد من أمراض القلب والأوعية الدموية.
خيار آخر هو تصحيح عظم العظم. مع هذه الطريقة ، يتم إدخال لوحة في المفصل ، مما يقلل الضغط على المنطقة المصابة من الركبة.
العلاج التمارين
إنه تنفيذ منتظم وصحيح لعدد من التمارين البدنية التي تهدف إلى تعزيز المفصل واستعادة تنقله.
يمكن تنفيذ هذا الإجراء بشكل مستقل في المنزل ، بعد أن اتصل سابقًا بأخصائي للحصول على المشورة.
وقاية
تتبع القواعد البسيطة سيمنع حدوث أو تفاقم تدمير الغضروف. لهذا تحتاج:
- اتبع النظام الغذائي. سيساهم هذا في التحكم في وزن الجسم ، ويوفر للجسم جميع الفيتامينات والمعادن اللازمة.
- الالتزام ببعض الألعاب الرياضية ، التخلي عن الآخرين. والحقيقة هي أنه مع التهاب المفاصل ، فإن الأحمال المفرطة على الركبتين غير مرغوب فيها للغاية. لهذا السبب ، من الأفضل استبدال الجري والقفز بركوب الدراجات أو السباحة أو المائية.
- أداء التدريبات العلاجية بانتظام.
- ارتداء أحذية مريحة وصحيح العظام. من غير المقبول ارتداء الأزرار والكعب العالي ، نعل مسطح ، مما يعطي الأفضلية للأحذية بكعب صغير.
يعد التهاب المفصل في الركبة مرضًا شائعًا إلى حد ما يمكن أن يمر دون أن يلاحظه أحد لفترة طويلة. على الرغم من البداية بدون أعراض ، يمكن أن يؤدي التهاب المفاصل إلى مضاعفات خطيرة ، وذلك إلى الإعاقة. لذلك ، من المهم للغاية إجراء التشخيصات في الوقت المناسب وبدء العلاج اللازم.
















































